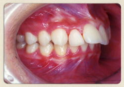
上突咬合
|
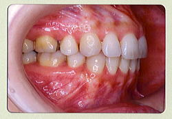
上の歯が前に出ている咬みあわせ「出っ歯(上突咬合)」といいます。 ・初診時年齢 12歳1ヵ月 |
||||||||
|
|
|
||||||
|
|
||||||||
|
|
|
||||||
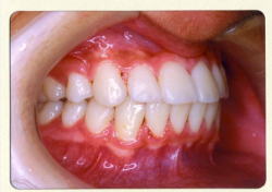
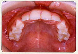
下突咬合
|
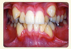
下の歯が上の歯より前に出ている咬み合わせを「受け口(下突咬合)」といいます。 ・初診時年齢 19歳10ヵ月 |
||||||||
|
|
|
||||||
|
|
||||||||
|
|
|
||||||
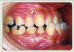
両突歯列
|
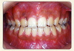
上の歯も下の歯も前に出ている状態を「両突歯列」といいます。 ・初診時年齢 29歳8ヵ月 |
||||||||
|
|
|
||||||
|
|
||||||||
|
|
|
||||||
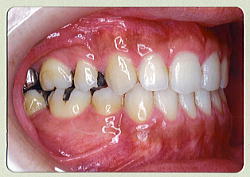
叢生
|
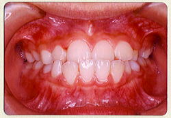
歯が重なっている状態を「八重歯(叢生)」といいます。 ・初診時年齢 19歳11ヵ月 |
||||||
|
|
|
||||
開咬
|
奥歯は咬んでいても、前歯が咬み合わずに開いている状態を「開咬(かいこう)」といいます。 ・初診時年齢 18歳4ヵ月 |
||||||
|
|
|
||||
小児矯正
(小2~3年から上下前歯を並べる治療):反対咬合第一段階として、前歯の咬み合わせを早期に治療します ・初診時年齢 9歳10ヵ月 永久歯列期の治療はなく終了 |
||||||
|
|
|
||||
|
|
||||||
(小2~3年から上の前歯を並べる治療):叢生・初診時年齢 7歳8ヵ月 永久歯列期で上4-4 下4-4を抜歯して治療を行う |
||||||
|
|
|
||||



























