矯正治療とは
![]() |
歯ならびや咬み合わせが悪いことを不正咬合といいます。
不正咬合があると、口もとの形が良くないばかりでなく歯みがきが十分に出来ずに虫歯や歯ぐきの病 気にかかりやすくなります。
また、食物を良く咬めなかったり、発音がおかしくなったりすることもあります。
さらに、不正咬合は顎の成長や、顔かたちに影響して、口もとに対するコンプレックスを与えることもあります。
矯正治療とは歯ならびをきれいにし、あるいはさらに顔かたちに影響を与えることでこのような障害を取り除き、心身ともに健康な状態にする治療なのです。
不正咬合の原因は?
不正咬合を起こす原因は大きく分けて二つあります。その一つは遺伝によるものです。
これは生まれながらのものなので、現在のところ予防はほとんどできません。
もう一つは骨の発育障害や指しゃぶりなどの癖によるものです。
また、歯が抜けたままや虫歯も治療しないで放置すると、歯ならびを悪くする原因となります。
その他、不正咬合の原因の中には、個人の生まれ持った素因によることもあります。
不正治療の開始時期
![]() |
治療時期は、早期治療では乳歯が抜けて永久歯にはえ変わる時が良いのですが、場合により乳歯の時に治した方が良いこともあります。永久歯列期で本格的な矯正治療を行うことになります。また大人になってから治した方が良い結果を得られる場合もあります。
このように不正咬合の状態によって、治療開始時期は様々です。
そのため、まず診察をお受けになり、最も良い時期に治療を開始することが大切です。
矯正治療期間について
永久歯列期の悪い歯ならびを治すには歯を動かしてきれいに揃えなければなりません。
ところが歯の根は、あごの骨の中に埋まっているので歯が動くためには根の埋まっている周囲の骨が吸 収したり、あるいは新たに骨ができたりする必要があります。その骨の変化の速度はとてもゆっくりしたものであるため、個人差はありますが、歯を動かし、上下の咬み合わせを治す期間だけでも最低2年~3年ぐらいかかるのです。
また、不正咬合の状態によっては乳歯が残っている時期に1年半くらい一度治療を行い、永久歯がすべてはえそろった時期に本格的に治療を始める必要がある人も多くいます。また、ある程度あごの骨の成長が終わるまで経過観察を行ってから治療を始めた方が良い人もいます。症例によっては小さい時から始めて終わるまで10年以上かかることもあります。
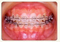
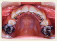
使用する装置
目立ちにくいセラミックブラケットを使用します。
咬み合せの状態によっては、下の歯にメタルブラケットを使用します。
|
|
|
|
|||||||||||||||
矯正治療の内容と注意点
矯正治療の内容
- 矯正治療は、ワイヤーやゴムの力及び合成樹脂の弾力や患者さんの筋力を利用して、前方や後方または抜歯したところのすき間をなくすように歯を動かしていきます。
- 矯正治療の期間は、おおよそ2年~4年かかります。ただし、歯の動き方は口腔内や骨の状態等によって個人差があるため、治療期間が予定よりも延長する場合があります。
- 診断により、矯正治療のための第一小臼歯や大臼歯の抜歯が必要となる場合があります。その場合は、かかりつけの歯科医院に抜歯を依頼します。治療中または治療後に親知らずの抜歯を行うことがあります。その場合は、当院より歯科口腔外科の専門医を紹介します。
- 診断により抜歯をせずに矯正治療を開始した場合で、治療方針の変更が必要となり、治療中に抜歯が必要になることがあります。
- 矯正治療を開始する前や治療中に、固定を強化するためインプラントを埋入することがあります。
- まれに、骨と歯が癒着して歯が動かないことがあります。特に骨の中に埋まっている歯を引っ張り出す場合に比較的多く起こり、この場合は、歯科口腔外科にて歯を軽く脱臼させた後に引っ張り出します。
- 患者さん自身で取り外しをしなければならない口腔内ゴム等の装置は、担当医から指示された通り(方法や時間等)に使用しないと、治療が予定通り進まなくなります。
- 矯正治療では、治療が終了し矯正装置をはずした後は保定装置を使用していただき、年に数回の定期観察をさせていただきます。
- 保定期間中または保定終了後に歯が動いて、咬みにくくなる場合があります。原因を想定できる場合もありますが、想定できない場合もあります。なお、再度矯正治療を行う必要が生じた場合は、装置料または一部の基本料金が別途必要になります。
- 度重なる遅刻やキャンセルが多い場合、満足いく治療結果を得られなくなりますし、治療を中断または中止しなければならない場合があります。
矯正治療の注意点
- 患者さんの治療に対する反応の個人差までは計ることができませんので、矯正治療の結果にはある程度の幅があります。
- 矯正装置をつけると、歯磨きが難しくなります。歯磨き指導は行いますが、歯磨きを怠った場合は虫歯や歯周病に罹患する場合がありますので、定期的な歯の清掃を受けられることをお薦めします。
- 矯正装置の材質に対し、アレルギーを起こす場合があります。材質の変更が不可能な場合、矯正装置の再度の選択が必要となる場合があります。
- 矯正装置の多くは、様々な小さい部品から構成されています。ゆがんだり破損したりした装置によって、あるいは口をぶつけたりすることによって、頬や唇の傷や炎症の原因になることがあります。
- 矯正治療による歯の移動中に、歯肉の退縮や歯髄の炎症及び歯の根が短くなることもあります。
- 顎関節症は矯正治療により改善される場合もありますが、悪化する場合もあります。
- 矯正治療中や治療後に過度の顎の成長が起こる場合があり、18歳以降の成長が止まった時に顎切除等の外科手術が必要になる場合もあります。
- 早期治療の場合は一部の症例を除いて、永久歯列期での矯正治療が必要になります。なお、永久歯の第一小臼歯等を抜歯する場合もあります。













